来院されましたら問診票の記入をお願いいたします。まずはどういったお悩みがあるかお聞かせください。
次に歯並びの診査を行い、治療へのご希望をお伺いいたします。治療方法や期間、治療費などの大まかなお話しをさせていただきます。虫歯や歯周病、歯肉炎などの検査のため、通常の歯科治療の検査をお勧めする場合があります。
矯正歯科相談
Consultation
Consultation

矯正相談 来院されましたら問診票の記入をお願いいたします。まずはどういったお悩みがあるかお聞かせください。
次に歯並びの診査を行い、治療へのご希望をお伺いいたします。治療方法や期間、治療費などの大まかなお話しをさせていただきます。虫歯や歯周病、歯肉炎などの検査のため、通常の歯科治療の検査をお勧めする場合があります。

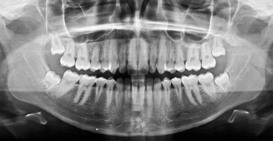
検査診断矯正相談以上の詳しいお話をご希望なさった場合は、具体的な治療方針を考えます。そのためにレントゲン、口腔内写真、口腔模型などの検査を行います。

診断結果のご報告 行った検査の結果をもとに治療計画をご提示します。患者様の希望とすり合わせを行い詳細な治療計画や費用等の詳細をご説明いたします。ご納得いただけましたら治療契約書にサインしていただき、治療開始となります。

治療 治療計画に沿って行っていきます。治療の最中でも何かご不安なことがありましたら何なりと聞いてください。

治療終了〜 治療終了となりましたら、矯正器具を外して口腔内写真や模型を採らせていただき、術前後の比較を行います。
また、矯正終了直後は後戻りの可能性がありますので防止装置を装着します。防止装置の装着期間は症例によって異なります。その後は定期的に受診していただき、経過を拝見いたします。
Point
馬込沢うすくら歯科では歯科大学病院の矯正歯科に所属する矯正歯科専門Drが担当します。実際に大学病院でも治療を行っているDrですので、同レベルの矯正歯科を受けることができます。また、担当Drは女性ですので審美的なお悩みに親身になってお伺いいたしますし、お子様にも優しく治療いたします。矯正治療は長期間に渡り行いますので、途中で治療をやめてしまう方もいらっしゃいます。その理由に「先生が怖い」ということも少なからずあるようです。とても優しいDrですのでお子様の矯正相談もご安心ください。
